上顎前突症の治療例
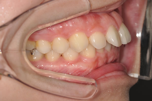
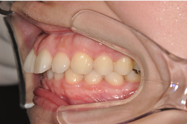
上顎前突症(出っ歯)の矯正症例 ケース01
| 治療前(初診) | 治療後 | |
|---|---|---|
![]() |
![]() |
![]() |
![]() |
![]() |
![]() |
![]() |
![]() |
![]() |
![]() |
![]() |
![]() |
![]() |
![]() |
![]() |
![]() |
![]() |
![]() |
![]() |
![]() |
![]() |
装置 |
||
|---|---|---|
![]() |
![]() |
|
上顎前突症(出っ歯)の矯正症例 ケース02
| 治療前(初診) | 治療後 | |
|---|---|---|
![]() |
![]() |
![]() |
![]() |
![]() |
![]() |
![]() |
![]() |
![]() |
![]() |
![]() |
![]() |
![]() |
![]() |
![]() |
![]() |
![]() |
![]() |
![]() |
![]() |
![]() |
装置 |
||
|---|---|---|
![]() |
||


































