一期治療の治療例
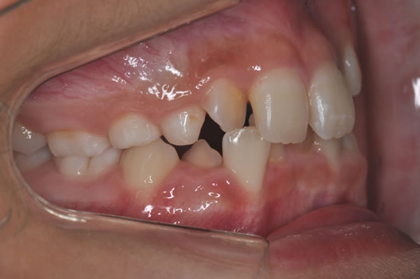
叢生の矯正症例
| 治療前(初診) | 治療後 | |
|---|---|---|
![]() |
![]() |
![]() |
![]() |
![]() |
![]() |
![]() |
![]() |
![]() |
![]() |
![]() |
![]() |
![]() |
![]() |
![]() |
![]() |
![]() |
![]() |
![]() |
![]() |
![]() |
装置 |
||
|---|---|---|
![]() |
![]() |
|
| 治療前(初診) | 治療後 | |
|---|---|---|
![]() |
![]() |
![]() |
![]() |
![]() |
![]() |
![]() |
![]() |
![]() |
![]() |
![]() |
![]() |
![]() |
![]() |
![]() |
![]() |
![]() |
![]() |
![]() |
![]() |
![]() |
装置 |
||
|---|---|---|
![]() |
![]() |
|