静岡市の矯正歯科医院
初診相談のご予約
診療時間
アクセス
ホーム
お知らせ
矯正歯科治療とは
治療費
治療例
インビザラインの治療例
インプラント矯正の治療例
舌側矯正(リンガル)の治療例
一期治療の治療例
上顎前突症の治療例
下顎前突症の治療例
開咬症 一期治療の治療例
唇側矯正の治療例
治療の種類
インプラント矯正とは
ワイヤーを使用しない矯正歯科
インビザライン
見えない矯正装置
舌側矯正装置
痛みの少ない矯正装置
(デーモンアプライアンス)
治療の流れ
院長紹介
クリニック通信
初診相談のご予約
ホーム
お知らせ
矯正歯科治療とは
治療費
治療例
インビザラインの治療例
インプラント矯正の治療例
舌側矯正(リンガル)の治療例
一期治療の治療例
上顎前突症の治療例
下顎前突症の治療例
開咬症 一期治療の治療例
唇側矯正の治療例
治療の種類
インプラント矯正とは
ワイヤーを使用しない矯正歯科
インビザライン
見えない矯正装置
舌側矯正装置
痛みの少ない矯正装置
(デーモンアプライアンス)
治療の流れ
院長紹介
クリニック通信
初診相談のご予約
tel:
054-258-1881
(予約制)
電話する
診療時間
アクセス
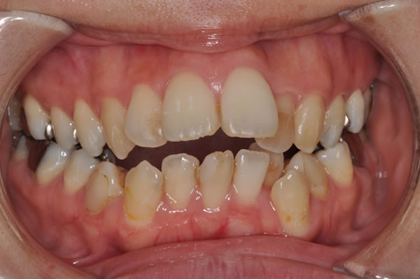
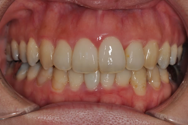
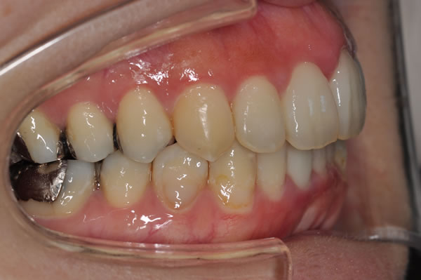
矯正治療例
インビザラインの治療例
上顎前突開咬症例
治療前(初診)
治療後
ワイヤーを使用しない 矯正歯科
インビザラインとは
TOPへ戻る
初診の相談予約 >