インビザラインの治療例
インビザライン前の準備矯正(初診から準備矯正後まで)
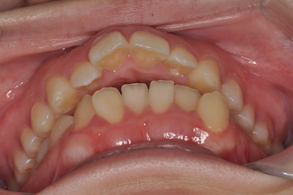
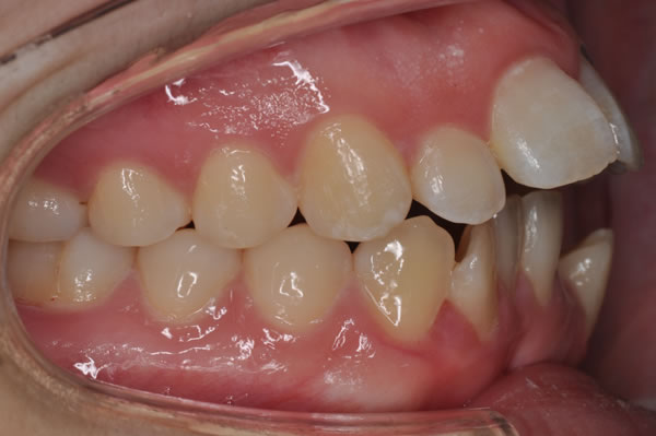
インビザライン単独の矯正治療が難しい場合はマルチブラケットによる準備矯正が必要なことがあります。
| 治療前(初診) | 準備矯正 | 準備矯正後 | ||
|---|---|---|---|---|
![]() |
![]() |
![]() |
![]() |
![]() |
![]() |
![]() |
![]() |
![]() |
![]() |
![]() |
![]() |
![]() |
![]() |
![]() |
![]() |
![]() |
![]() |
![]() |
![]() |
![]() |
![]() |
![]() |
![]() |
![]() |
![]() |
![]() |
![]() |
![]() |
![]() |
![]() |
![]() |
![]() |
![]() |
![]() |
インビザライン単独の矯正治療が難しい場合はマルチブラケットによる準備矯正が必要なことがあります。
| 治療前(初診) | 準備矯正 | 準備矯正後 | ||
|---|---|---|---|---|
![]() |
![]() |
![]() |
![]() |
![]() |
![]() |
![]() |
![]() |
![]() |
![]() |
![]() |
![]() |
![]() |
![]() |
![]() |
![]() |
![]() |
![]() |
![]() |
![]() |
![]() |
![]() |
![]() |
![]() |
![]() |
![]() |
![]() |
![]() |
![]() |
![]() |
![]() |
![]() |
![]() |
![]() |
![]() |